Atlas TK i MR małych zwierząt. Wydawnictwo Galaktyka, 2025 r.
Fragment rozdz. 2.2 pt. Obrzęk mózgu

Przepukliny i malformacje tyłomózgowia
Malformacja typu Chiari
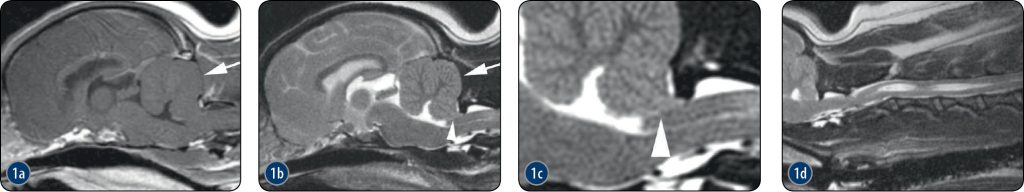
Malformacja typu Chiari jest spowodowana zmniejszoną objętością doogonowego dołu czaszki, co prowadzi do niedopasowania objętości móżdżku do objętości doogonowego dołu czaszki. Choroba ta występuje głównie u psów rasy cavalier king charles spaniel, ale może dotyczyć również przedstawicieli innych ras małych i miniaturowych. Zmniejszona objętość dołu doogonowego czaszki skutkuje stłoczeniem i przemieszczeniem móżdżku, który w niektórych przypadkach może się wpuklać lub przepuklić przez otwór wielki. Stłoczenie móżdżku powoduje również ucisk pozamózgowy komory czwartej i kanału centralnego, co prowadzi do wodogłowia obturacyjnego i jamistości rdzenia kręgowego (syringohydromyelii). Objawy kliniczne obejmują ból, ból pozycyjny, przeczulicę oraz deficyty neurologiczne, jednak ich nasilenie słabo koreluje z wynikami badań obrazowych.
Na obrazach TK doogonowy dół czaszki wydaje się mniejszy niż normalnie, co można najlepiej ocenić na obrazach w rekonstrukcji strzałkowej. Można również zaobserwować wodogłowie obturacyjne i jamistość rdzenia kręgowego. Podobne cechy są widoczne na obrazach MR, a sekwencja strzałkowa T2-zależna często jest najbardziej przydatna do wykrywania poszerzenia komór i kanału centralnego oraz do rozpoznawania przemieszczenia móżdżku i przepukliny przez otwór wielki (ryc. 2.3.1, 2.3.2).

którzy są subskrybentami naszego portalu.
i ciesz się dostępem do bazy merytorycznej wiedzy!
POSTĘPOWANIA
w weterynarii


