Profilaktyka mastitis w okresie zasuszenia krów
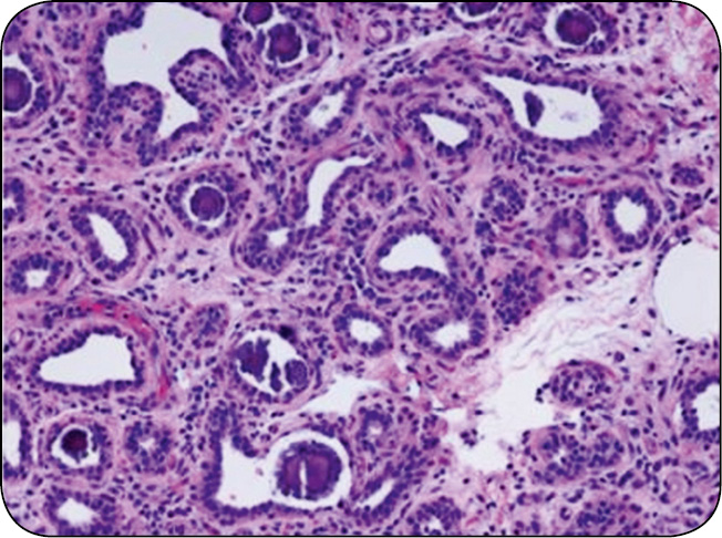
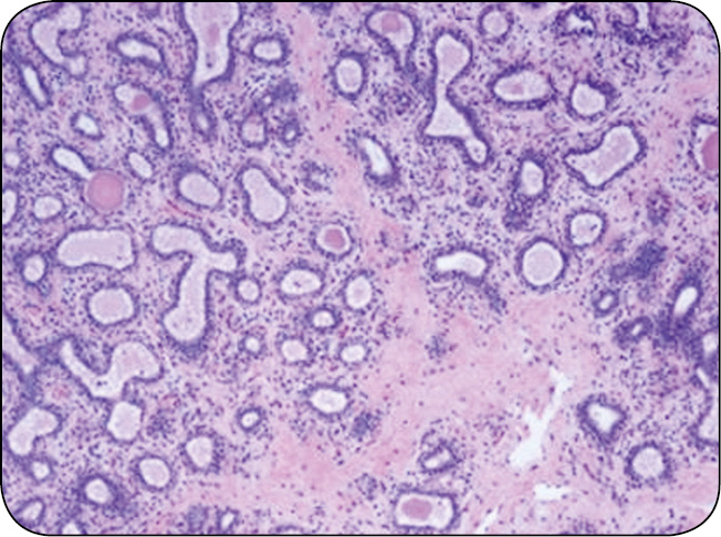
Czas od zakończenia laktacji do porodu to okres zasuszenia. U krowy trwa on przeważnie od 30 do 80 dni, zwykle 40-60 dni. W tym okresie poza przygotowaniem organizmu do zbliżającego się porodu tkanka gruczołu mlekowego ulega przemianom. Przebudowa tkanki wydzielniczej gruczołu mlekowego (inwolucja i ewolucja) odbywa się w trzech etapach. Pierwszy trwa 2-3 tygodnie i charakteryzuje się ograniczeniem zdolności komórek wydzielniczych do syntezy i sekrecji mleka oraz ich apoptozą. Druga faza – to trwający 3-4 tygodnie odpoczynek tkanki gruczołowej, kiedy ma miejsce pełne zasuszenie. W trzeciej fazie zachodzi ponowny rozwój tkanki wydzielniczej. W tej fazie, która przypada na ostatnie 2 tygodnie ciąży, nabłonek gruczołowy ulega proliferacji oraz dyferencjacji, czego konsekwencją jest produkcja siary, a po porodzie – mleka. W pierwszej i trzeciej fazie okresu zasuszenia, kiedy tkanka wymienia podlega intensywnej przebudowie, najczęściej dochodzi do zakażeń gruczołu mlekowego (ryc. 1, s. 43).


którzy są subskrybentami naszego portalu.
i ciesz się dostępem do bazy merytorycznej wiedzy!
POSTĘPOWANIA
w weterynarii


