Nowotwory mieszków włosowych skóry psa
Nabłoniak wapniejący Malherbe’a
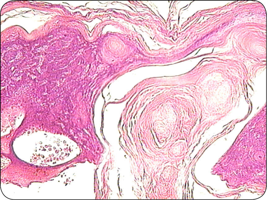
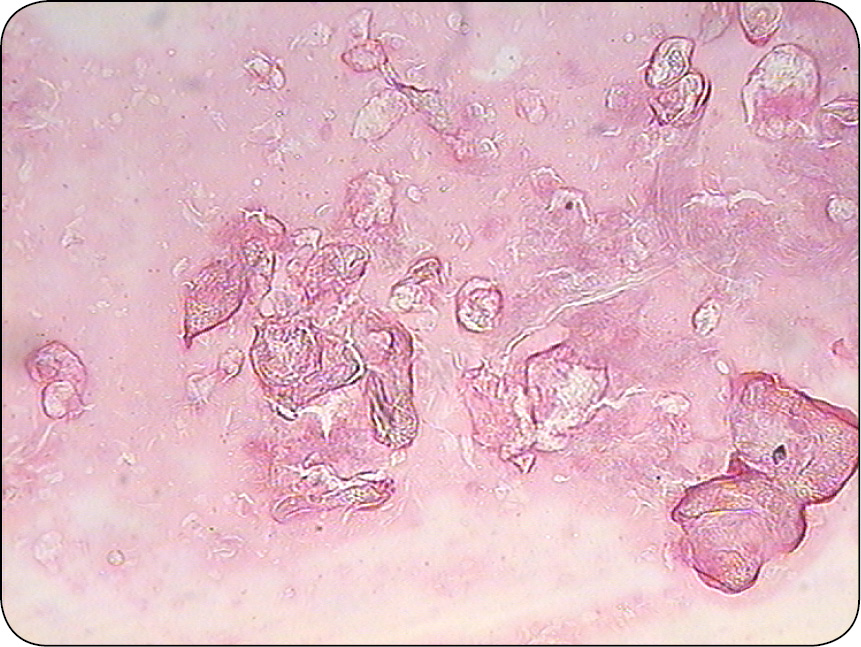
Jest guzem wywodzącym się z komórek macierzy włosa. Zbudowany z licznych torbieli, których zawartość ulega inkrustacji solami wapnia. Ściana torbieli jest zbudowana z kilku warstw komórek, które ulegają zwyrodnieniu i nekrobiozie, wypełniają światło torbieli (ryc. 9). W świetle torbieli znajduje się homogenna eozynochłonna masa, w której są widoczne cienie komórkowe (ryc. 10). Stąd wywodzi się angielskie określenie „cieni komórkowych” – shadow cells. Cechą charakterystyczną tych guzów jest wapnienie obumarłych komórek obecnych w świetle torbieli (ryc. 11).



Znamię mieszkowe, s. odpryskowiec mieszkowy
[...]
którzy są subskrybentami naszego portalu.
i ciesz się dostępem do bazy merytorycznej wiedzy!
POSTĘPOWANIA
w weterynarii





