Przypadek zapalenia mózgu i mięśnia sercowego u prosiąt ssących
Testy PCR wykonano na próbkach pulowanych (pule trzech próbek, według wieku prosiąt). Próbki różnych tkanek (tab. 3) utrwalono w zbuforowanej 10-proc. formalinie i zatopiono w parafinie. Skrawki o grubości 5 µm barwiono hematoksyliną i eozyną. Preparaty z serca wykorzystano również do badania immunohistochemicznego z wykorzystaniem własnych przeciwciał monoklonalnych (3E5). Za dodatnie uznawano próbki, w których stwierdzano charakterystyczne brązowe złogi w komórkach. Homogenizat mięśnia sercowego wykorzystano do inokulacji linii komórkowych Vero i BHK-21.
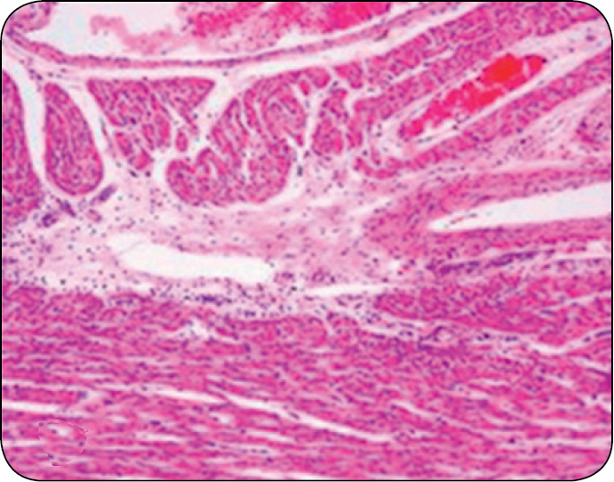
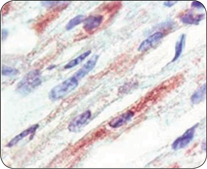
Badanie bakteriologiczne nie wykazało wzrostu drobnoustrojów. Test PCR w kierunku PRRSV, PRV oraz ELISA antygenowa w kierunku CSF dały wyniki ujemne w odniesieniu do wszystkich próbek. Wszystkie 8 pul materiału badane testem PCR w kierunku EMCV dało wynik dodatni. Badanie mikroskopowe wykazało obecność rozsianego lub ogniskowego zapalenia mięśnia sercowego oraz intensywnego zwyrodnienia i martwicy komórek mięśniowych. Nacieki zapalne składały się głównie z komórek jednojądrzastych i niewielkiej liczby neutrofili. Metodą immunohistochemiczną (IHC) stwierdzono obecność antygenów EMCV w komórkach mięśnia sercowego, włóknach Purkinjego, śródbłonku naczyń i w makrofagach (ryc. 2).


którzy są subskrybentami naszego portalu.
i ciesz się dostępem do bazy merytorycznej wiedzy!
POSTĘPOWANIA
w weterynarii





