Diagnostyka obrazowa w przebiegu syndromu EOTRH
Detektor musi znajdować się na tyle głęboko, aby możliwa była ocena korzeni wszystkich siekaczy oraz kłów. W celu wykonania zdjęć bocznych konieczne będzie otworzenie pyska zwierzęcia przy pomocy niecieniującego klocka umieszczonego między siekaczami.
Zdjęcia powinno się wykonywać ze znacznikami prawy/lewy lub w sposób umożliwiający określenie strony.
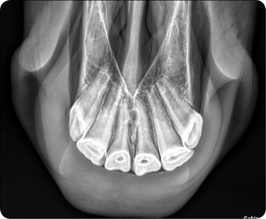
W celu wykonania zdjęć rentgenowskich siekaczy szczęki należy ustabilizować głowę zwierzęcia, następnie umieszcza się kasetę skierowaną dogrzbietowo, maksymalnie doogonowo w jamie ustnej (ryc. 5 i 6).


Ze względu na zmieniający się wraz z wiekiem kąt siekaczowy w zależności od pacjenta promienie rentgenowskie powinno się kierować pod kątem 45° u zwierząt młodych i 70-80° u koni starszych w stosunku do kasety. W przypadku nałożenia się na siebie koron skrajnych zębów siecznych w obrazie RTG należy wykonać dodatkowe projekcje skośne, prawe i lewe pod kątem 10-15°, umieszczając lampę rentgenowską po tej samej stronie co dany ząb. Aby zobrazować korzenie kłów szczęki, należy się upewnić, że detektor znajduje się [...]
którzy są subskrybentami naszego portalu.
i ciesz się dostępem do bazy merytorycznej wiedzy!
POSTĘPOWANIA
w weterynarii





