Nowe metody diagnostyczne subklinicznego endometritis w stadach bydła mlecznego
Badanie histopatologiczne
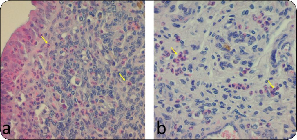
Histopatologia uznawana była za złoty standard w diagnostyce zmian w endometrium (3). Bioptaty pobrane od niepłodnych krów wykazały, że u większości z nich doszło do rozwoju SCE. Poprzez to badanie można ocenić naciek leukocytarny charakteryzujący stan zapalny. Dodatkowo pozwala na wykrycie komórek zwłókniałych, zwyrodniałych i zdegenerowanych, których obecność świadczy o nieodwracalnych zmianach starczych i innych procesach zwyrodnieniowych (4). Pozwala na uwidocznienie ostrych i przewlekłych zmian zarówno w nabłonku, jak i w warstwie właściwej endometrium (ryc. 3).

Wadą metody według niektórych źródeł jest możliwy negatywny wpływ na późniejszą płodność krów mlecznych (3) oraz to, że pomimo iż samo wykonanie biopsji i pobranie materiału nie jest skomplikowane, ale trudniejsze niż w przypadku cytologii, to badanie histopatologiczne wymaga drogiego i specjalistycznego sprzętu oraz wykwalifikowanej obsługi. Również dość długi czas oczekiwania na wynik badanie istotnie ogranicza przydatność kliniczną metody [...]
którzy są subskrybentami naszego portalu.
i ciesz się dostępem do bazy merytorycznej wiedzy!
POSTĘPOWANIA
w weterynarii





