Nieurazowe złamania głowy i szyjki kości udowej u kotów
Przypadki kliniczne
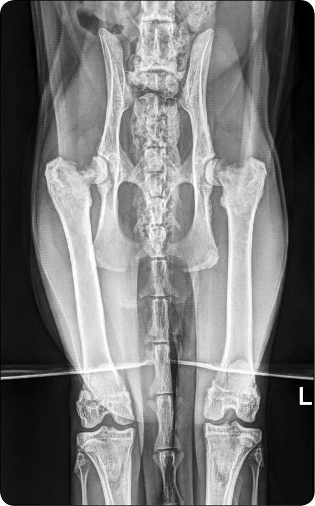
Pacjent nr 1
Kot, maine coon, samiec, 18 miesięcy, waga: 9 kg, kastrowany w wieku 5 miesięcy. Trafił do przychodni z powodu przewlekłej, trwającej od kilku miesięcy kulawizny prawej kończyny miednicznej, która uległa pogorszeniu w przeciągu ostatnich 2 tygodni. Brak notowanego urazu. Podczas wizyty w gabinecie zaobserwowano kulawiznę 3. stopnia – przemijającą, bez obciążania kończyny. W badaniu klinicznym wykazano znaczne ograniczenie ruchu w prawej kończynie miednicznej, bolesność i krepitację podczas manipulacji. Wykonano badanie RTG w pozycji wentralno-dorsalnej z wyprostowanymi kończynami, które ukazało zmiany lityczne w obrębie szyjki głowy kości udowej w obu kończynach miednicznych. W prawej kończynie miednicznej zmiany radiologiczne były silniej wyrażone, dając podejrzenie całkowitego odseparowania głowy od szyjki kości udowej. Ze względu na występujące czynniki ryzyka (wiek, płeć, masa, wczesna kastracja) objawy kliniczne oraz wynik badania klinicznego i radiologicznego postawiono diagnozę osteopatii przynasadowej i zdecydowano o obustronnej operacji resekcji głowy i szyjki kości udowej. Zalecono miesięczną przerwę pomiędzy zabiegami w celu regeneracji oraz fizjoterapii mającej za zadanie zwiększenie masy mięśniowej pierwszej operowanej kończyny. Śródoperacyjnie stwierdzono całkowite odseparowanie nasady głowy kości udowej od przynasady.

Mogą zainteresować Cię również
POSTĘPOWANIA
w weterynarii


