VETmedycyna zwierząt towarzyszących — Diagnostyka laboratoryjna i obrazowa
Badanie osadu moczu krok po kroku
Dermatofity u małych ssaków. Kto się nimi zaraża? Kto je przenosi? Jak je zdiagnozować?
Nadwrażliwość III typu. Wybrane choroby autoimmunologiczne psów
Łatwa interpretacja wyników – które parametry chemii klinicznej mają sens u małych ssaków?
art. sponsorowany
Nowa era diagnostyki weterynaryjnej: instalacja trzech zaawansowanych urządzeń w klinice VETERIO
Diagnostyka guzów z komórek tucznych u psów i kotów
Różnicowanie korowo-rdzeniowe – nieoczywisty objaw ultrasonograficzny w ocenie nerek psów i kotów
Analiza cytologiczna wysięków opłucnowych
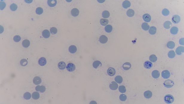
Różnicowanie niedokrwistości za drzwiami laboratorium
strona 1 z 28
zobacz więcej
Wykorzystanie ultrasonografii w diagnostyce zespołu krótkiej okrężnicy u kotów
Niezbędny i niebezpieczny: sekrety metabolizmu żelaza
Wiarygodność pod kontrolą
Błędy interpretacyjne wyników badań biochemicznych
118
ALGORYTMY
POSTĘPOWANIA
w weterynarii
POSTĘPOWANIA
w weterynarii



